-
肾病综合征患者病情延误 青岛静康肾病医院为你揭秘真假
一年前张阿姨查出了肾病综合征,通过激素治疗后病症反复发作,花了一大笔治疗费用不说,治疗效果却没有好转,浮肿症状越来越严重。...【浏览全文】
-
常州市德安医院康复医学科获批市级临床重点专科
2018年10月30日,常州市卫计委公布了2018年度市级临床重点专科的评审结果,常州市德安医院康复医学科顺利通过审核,跨入到常州市市级临床重点专科的行列。截至目前,市德安医院已有精神科、康复医学科两个市级临床重点专科。...【浏览全文】
-
成都看中医哪里好?成都大部分人选择这家看中医
作为一家百年中医品牌,成都御生堂坚持以“御疾造万众,生术福天下”为使命,注重中医药特色优势的发挥,运用汤药、背腧穴艾灸、穴位贴敷等中医传统方法,专注各类疑难杂症疾病,特别是对于肿瘤的医治。...【浏览全文】
-
成都口碑好的中医馆 医术高 医德高 价格少的
成都御生堂中医馆深知药乃治病救人之物,固质量为根本,在选购药材时制定层层质量关卡,严把药材质量关。御生堂所有中药材均来自国内知名药企,就是力求做到进入御生堂的中草药、中药饮片每一道程序精准、科学,每一味药材从选购到煎熬,都有专人把关和核准。...【浏览全文】
-
濮阳东方医院服务如何 贴心服务的品质医院
治疗男性早泄的方法非常多,什么方法能快速的治好,这个根据不同的病情和患者不同的身体素质来说,有着不同的方法,大家可以根据自己的实际情况来选择较好的方法。下面,我们就来介绍几种比较有效的。...【浏览全文】
-
成都博大泌尿外科医院?关注健康还您幸福生活
如果男性长期的发现性生活疲软、房事力不从心的情况,多是阳痿,阳痿常表现为阴茎不能勃起,或勃起不硬,或坚而短暂,勃起疲软,不能进行性交,会导致无法完成正常的性生活,时间长了就会影响夫妻之间的感情...【浏览全文】
-
济南复元康复医院治疗神经损伤怎么样?康复的起点从这里开始
臂丛神经主要支配上肢和肩背、胸部的感觉和运动。臂丛神经损伤是由工伤、交通事故,或产伤等原因引起的一种周围神经损伤。受伤后,若患者得不到科学的治疗,患者上肢功能部分或完全丧失,遗留终生残疾。...【浏览全文】
-
深圳市胃思宝医院费用合理 患者好口碑专科优势立足
深圳胃思宝医院作为深圳市值得患者信赖的胃肠专科医院,始终坚持以患者为中心,多年来用精湛的医技、强烈的社会责任心赢得了肠胃病患者的卓越口碑,是患者朋友治好疾病恢复健康的安心选择。...【浏览全文】
-
昆明东大肛肠医院微信号是什么?院长微信解答患者四大经典问题
昆明东大肛肠医院刘院长说,在门诊上经常会遇到这样一些肛肠病患者,在到医院就诊前尝试了各种治疗方法,甚至使用了偏方,但症状仍经常反复,有的还不断加重,因此有的患者甚至怀疑自己得了恶性肛肠疾病,整天忧心忡忡,精神状态也变得很差。...【浏览全文】
-
聚焦:患者关于郑州丰益肠医院怎么样的真实性回馈
我是17年上半年陆续出现的便血,当时听人说痔疮很常见不用治,也就没有放在心上。直到上月偶然发现大便带有血迹,才引起了我的注意。...【浏览全文】
-
四川肛肠医院 专科诊疗服务评价靠谱
四川肛肠医院专注肛肠疾病的诊疗,是成都本地优秀肛肠专科医院。医院凭借特色专科和卓越的医疗体系,汇聚名医名家,以专科为特色,在成都率先开设了痔疮疾病诊疗中心、肛周脓肿诊疗中心、肛裂诊疗中心、便秘诊疗中心、肠炎等诊疗中心,真正做到“专科专病专治”。...【浏览全文】
-
北京国仁医院神经内科会诊专家率庆喜主任:如何缓解神经性头痛
神经性头痛多见于脑力劳动者,他们往往废寝忘食、夜以继日地工作,缺乏锻炼、营养不足、过度疲劳而致大脑不支。患者常有头涨、失眠、记忆力下降表现,并且有未老先衰之感。...【浏览全文】
-
北京国仁医院神经内科会诊专家率庆喜主任:帕金森应如何治疗
很多患者咨询如何预防帕金森?北京国仁医院神经内科会诊专家率庆喜主任称目前尚无有效的预防措施阻止疾病的发生和进展。当患者出现临床症状时黑质多巴胺能神经元死亡至少在50%以上,纹状体DA含量减少在80%以上。因此,早期发现临床前患者,并采取有效的预防措...【浏览全文】
-
北京国仁医院神经内科率庆喜主任:什么原因会造成面瘫
引起面神经炎的病因有多种,临床上根据损害发生部位可分为中枢性面神经炎和周围性面神经炎两种。中枢性面神经炎病变位于面神经核以上至大脑皮层之间的皮质延髓束,通常由脑血管病、颅内肿瘤、脑外伤、炎症等引起。周围性面神经炎病损发生于面神经核和面神经。...【浏览全文】
-
北京国仁医院特邀会诊专家徐俊教授:海马的结构研究
阿尔茨海默病(AD),又称老年性痴呆,是一类中枢神经系统变性疾病,起病隐袭,缓慢进展,是老年期痴呆最常见的一种类型。主要表现为渐进性记忆障碍、认知功能障碍、人格改变及语言障碍等神经精神症状,严重影响社交、职业与生活功能。近日,来自法国巴黎的 C...【浏览全文】
-
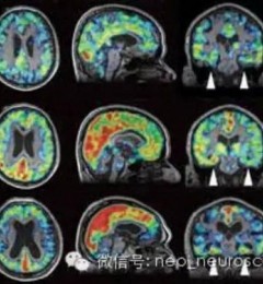
北京国仁医院特邀会诊专家徐俊教授:Tau-PET价值:此Tau非彼Tau
首个 PET 配体特异结合脑内病理性蛋白的报道距今已有十年。该示踪剂,11C-Pittsburgh compound B(PIB),可以与 Alzheimer’s disease(AD)斑块的主要成分—纤维化聚集的 amyloid-β结合,而后者是 AD 病理发生的始动事件。在此报道之后,已有数个被正电子...【浏览全文】
-
王培轩主任解答:白癜风治疗达不到预期,究竟是什么影响了白斑的康复?
白癜风是一种严重影响患者外貌的疾病,发病诱因多,治疗时间长,甚至一部分患者治疗数年都未能彻底治愈。要知道白癜风这种疾病的致病因素与生活有很大的关系,所以我们不光要选择正规的白癜风治疗医院,还需要在生活中格外的注意护理。...【浏览全文】
-
沧州新协和医院评价如何 取信于民狠抓医疗质量
沧州新协和专家介绍到:我们始终坚信一点,不忘初心方得始终,作为医生治病救人是我们的天职,不管是一家医院还是一个医生,首先要有医德,本院一直未专病专治的特色男科品牌而努力着。...【浏览全文】
-
焦作东大肛肠医院:人性化的管理医疗信息更安全
随着社会的不断发展肛肠科疾病严重困扰着肛肠患者的健康的生活和工作,因此患有肛肠科疾病时一定要及时的选择正规的医院进行治疗,那么焦作东大肛肠医院怎么样,焦作东大肛肠医院是经焦作市卫生局正式批准的焦作现代化专业肛肠科医院。...【浏览全文】
-
成都西南脑科医院:尊重患者恪守本心
随着社会的不断发展,脑疾病开始受到社会各界的关注。由于缺乏相关的健康知识,使得不少患者及其家属不知如何应对,极容易造成难以挽回的遗憾。而成都西南脑科医院立足西南地区,自成立以来就一直致力于脑病的科研、诊疗,兢兢业业,恪尽职守,秉持治病救人的...【浏览全文】
热门排行榜
本周TOP10
Copyright © 2008-2016. 现代健康网 www.xdjk.net 版权所有!粤ICP备20020369号-1
声明:本站部分内容来自互联网,仅供参考,不作为诊疗依据,如侵权请告知,转载请保留版权!
























