食管气管瘘是晚期食管癌常见的严重并发症,发生率约5%~10%,主要是由于肿瘤侵袭及放、化疗导致;一旦发生,中位生存期仅2~3个月,应积极给予诊治。临床上明确食管气管瘘主要方法包括:消化道造影、胸部CT增强扫描及三维重建。
采用动态DR进行消化道造影检查食管气管瘘,有巨大优势。动态DR具有大幅面透视,瞬时高清点片,视频图像回放、抽帧等功能。在食道碘水造影检查中,由于造影剂流速非常快,瞬时点片,可以实时捕捉到病变部位的影像。有些患者因呛咳明显,不宜反复多次检查,动态DR视频回放、图像抽帧的功能,能采集特征性图像明确诊断,更可以避免医源性损伤,保证医疗安全。
【案例回顾】
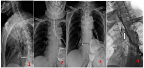
2016年7月,秦某某,女,60岁,食道癌术后半年,近十余天进食后呛咳,到医院就诊,做食道碘水造影检查。检查过程中采用数字透视观察造影剂流动情况,并对特征影像进行实时高清点片,获取图像如下:

图1.3:左箭头示碘水进入右肺下叶支气管。图4:右箭头示植入支架的气管管腔内见碘水影。下箭头示造影剂经食管前壁不规则形、窄小瘘口进入气管内。通过上述症状,可以判断该患者存在食管气管瘘。综上所述,可以判定食管气管瘘具体病变。
【动态DR检查优势】
动态DR矩形采集面积大(43cm×43cm),不需上下移动球管和探测器,一次曝光即可显示整个食道;快速、实时的点片技术能摄取关键图像,清晰显示病变特征。
【动态DR与胃肠机比较】
过去食道造影检查主要采用以影像增强器为核心部件的胃肠机进行检查。胃肠机最大的问题在于检查过程中,由于造影剂流速较快,小幅面成像的胃肠机需要保证球管与影像增强器快速跟随造影剂向下移动。这个过程不利于医生观察和做出正确判断。所以过去,需要患者配合进行多次吞咽动作,增加了患者的负担,同时也增加了医生的操作困难。
第二个方面的区别体现在图像清晰度上。动态DR与胃肠机的透视像素是一致的,但是动态DR的点片可达到900万像素,对食道粘膜破坏、中断的特征以及病灶范围的显示明显优于胃肠机。
第三个方面的区别体现在影像的保存和回放上。动态DR在做造影检查时,可以实时保存视频影像,造影检查完成后,可以回放视频,对造影剂流动的整个过程可以反复观察分析。
【动态DR与胃镜的比较】
也有一些医院使用胃镜进行该项目检查,其实是存在巨大风险的。食管癌晚期形成食管气管瘘, 是食管癌的严重并发症之一。诊断一般经食管碘水造影可确立诊断, 勿需胃镜检查证实。若要行胃镜检查, 也应小心操作,不可盲目强行进镜, 循腔进镜是其原则, 尤其是对年老体弱伴有呛咳症状者应严格掌握胃镜适应症, 否则容易导致窒息死亡。动态DR食管碘水造影操作简单、安全,可以明确诊断食管气管瘘,并行多体位细致观察瘘口形态、大小、位置。
【案例总结】
动态DR具有大幅面透视、瞬时高清点片、视频图像回放、抽帧等功能。在食道碘水造影检查中,由于造影剂流速非常快,瞬时点片,可以实时捕捉到病变部位的影像。本例患者因呛咳明显,也不宜反复多次检查,动态DR视频回放、图像抽帧的功能,能采集特征性图像明确诊断,更可以避免医源性损伤,保证医疗安全。




















