胸腔科接收一名60岁不抽烟女性患者,轻微的咳嗽半年多没好,结果进行计算机断层,发现是3公分的肺癌,大概第二期或三期。
主治医生说,患者期间去过其他医学中心,照X光看了没事,判断可能是长新冠,但治疗还是咳嗽没有好,后来来他的门诊。

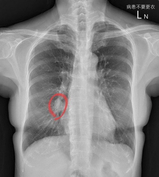
▼红圈处是3公分肺癌。

医生指出,X光一照看完觉得有问题,“让大家找看看在哪里”;安排后续的计算机断层CT检查,发现是3公分的肺癌,大概第二期或三期。
胸腔科接收一名60岁不抽烟女性患者,轻微的咳嗽半年多没好,结果进行计算机断层,发现是3公分的肺癌,大概第二期或三期。
主治医生说,患者期间去过其他医学中心,照X光看了没事,判断可能是长新冠,但治疗还是咳嗽没有好,后来来他的门诊。

▼红圈处是3公分肺癌。

医生指出,X光一照看完觉得有问题,“让大家找看看在哪里”;安排后续的计算机断层CT检查,发现是3公分的肺癌,大概第二期或三期。
免责声明:本站部分文章转载自网络,发布文章 为传递更多信息之用,另:文章 内容仅代表作者个人观点,与本站无关。其原创性以及文中陈述文字和内容未经本站证实, 对本文以及其中全部或者部分内容、文字的真实性、完整性、及时性本站不作任何保证或承诺,请读者仅作参考,并请自行核实相关内容。
Copyright © 2008-2016. 现代健康网 www.xdjk.net 版权所有!粤ICP备20020369号-1
声明:本站部分内容来自互联网,仅供参考,不作为诊疗依据,如侵权请告知,转载请保留版权!