近日,来自四川的张叔发现自己的治疗费用比前几次明显减少了,原来这一次他在暨南大学附属复大肿瘤医院接受了微波消融治疗(详情百度搜索:广州复大医院)。
今年4月,张叔清晨起床时,发现自己腹胀如鼓且双下肢严重浮肿,他立即赶往四川当地医院做了B超检查。经B超提示:肝硬化伴结节,腹部大血管旁淋巴结肿大,脾脏增大,腹腔大量积液,随后上腹增强CT检查显示:肝硬化,肝门区及腹主动脉旁淋巴结增多、部分增大,结合患者多年乙肝肝硬化病史,诊断为“发性肝癌IV期”。张叔早知他是乙肝患者,但不曾料到自己正值壮年就已患上肝癌。经同乡介绍,今年6月,张叔来到广州复大肿瘤医院进行氩氦刀冷冻消融术及肝门静脉癌栓125碘粒子植入术,术程顺利,手术创口仅约2mm,术后患者感觉良好,生命体征平稳,治疗效果良好,随即出院返回四川乡下。

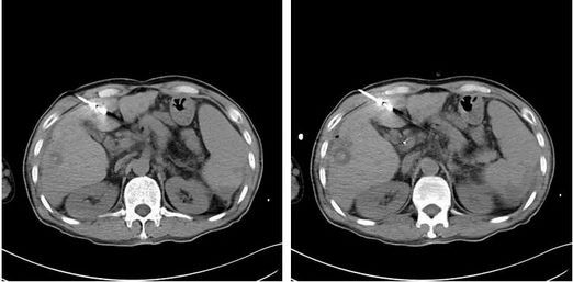
12月初,张叔再次来到医院就诊。经CT检查提示肝硬化,脾大,腹水,门脉高压,侧支循环开放,食管胃底静脉曲张。门脉主干及左叶、右前叶分支见充盈缺损,肝左叶近肝裂区似见稍低密度结节,增强不均匀稍强化,边缘不清,门静脉左支、主干及部分右支增粗,腔内充盈缺损,增强中度强化,肝门区及腹主动脉旁淋巴结增多、部分增大,考虑肝左叶肿瘤性病变。综合患者各项生理指标,为控制肿瘤病灶的进一步增大,以牛立志教授为首的专家团队建议他进行微波消融治疗。因为张叔的血小板只有5万多,而氩氦刀冷冻消融会消耗血小板,这种情况出血风险比较大,而微波消融对血小板影响小,对肝硬化失代偿的患者来讲可以争取更多的抗肿瘤治疗机会。
局部热消融技术作为一种微创的肝肿瘤治疗方法,近年来在国内外发展迅速,且已经成为非手术治疗中的一种重要手段,其具有局部热效率高、肿瘤局部灭活彻底、创伤小、并发症发生率低等特点, 尤其对直径≤ 5 cm 的肿瘤,大部分病例可达一次原位灭活,并有较好的远期疗效。且该项技术视病情及条件而定既可以经皮实施或在腹腔镜下进行,也可以在开腹手术中进行。开展该项手术,将为既往不适合外科手术的中晚期肝癌以及转移性肝癌患者提供新的治疗选择和延长生命的希望。

(手术治疗中......)
12月14日张叔在B超加CT引导下行肝脏肿瘤微波消融治疗,过程顺利,术中消融区域定位准确,消融范围满意,术后未诉不适,生命体征平稳,术后恢复良好,并且在术后第三天出院回家。
肝癌是全球发病率最高的肿瘤之一,其传统治疗方法包括手术切除、化疗、放疗等。但由于多数患者发现时已属晚期,或由于高龄、基础疾病等因素无法耐受手术。微波消融术是利用专门的治疗针(微波天线或微波“刀头”),在超声或CT引导下,经皮肤穿刺直接进入肿瘤病灶,利用微波炉一样的热效应原理,使肿瘤组织局部在几分钟内达到60-100℃的高温,达到“烧死”肿瘤细胞的目的,而周围组织极少或不发生损伤。

肿瘤消融技术作为目前肿瘤微创治疗的有效手段之一,已经广泛地运用在包括肝、肺、甲状腺、子宫、乳腺、肾、脾脏、骨、肾上腺等部位肿瘤。在肿瘤微创治疗领域,微波消融以其凝固速度快、消融范围大、凝血能力强等特点,正逐渐从众多的消融技术手段中脱颖而出,成为肿瘤微创治疗方式里目前发展最为迅速的一种治疗方式。通过国内临床专家和工程技术人员的不懈努力,我国微波消融技术已处国际领先水平。

复大肿瘤医院副主任医师梁冰介绍,局部热消融技术作为一种微创的肝肿瘤治疗方法,近十年来在国内外发展迅速,已逐渐成为肝癌非手术治疗中的一种常用手段。微波消融这种治疗方式具有微创、杀灭肿瘤效率高、耗时短(消融时间一般在10分钟以内)、不良反应和并发症少的优点。对于复发性小肝细胞肝癌患者,尤其是病灶直径较小,或者肝功能差,凝血功能不能耐受肝切除和冷冻消融的患者,微波消融是一种安全、可靠的方式。
广州复大医院咨询电话:020-38476021
广州复大肿瘤医院公众号:





















