广州市一名7个月大的黄姓小男婴日前因发烧、咳嗽先赴诊所拿药,但却仍反复发烧4、5天未好转,经前往医院尿液常规检查后,才发现白血球指数高达3万5千,肾脏超音波也发现双侧肾盂肾炎、左肾前端实质发炎,医师这才终于确诊为大肠杆菌泌尿道感染所引发的急性“大叶性肾盂肾炎”,经抗生素治疗后虽恢复健康,但因左边部分肾功能已受损,未来恐有较高机率患慢性肾衰竭。

儿童肾脏科主治医师陈剑韬表示,黄小弟反复发烧多日,但因没有其他明显症状,父母认为“过几天应该就会好”,只是吃药却仍不见效,决定到医院检查,经抽血检查发现白血球指数竟高达3万5千,血液发炎指数超过正常值13倍,且尿液常规检查白血球指数也破千。
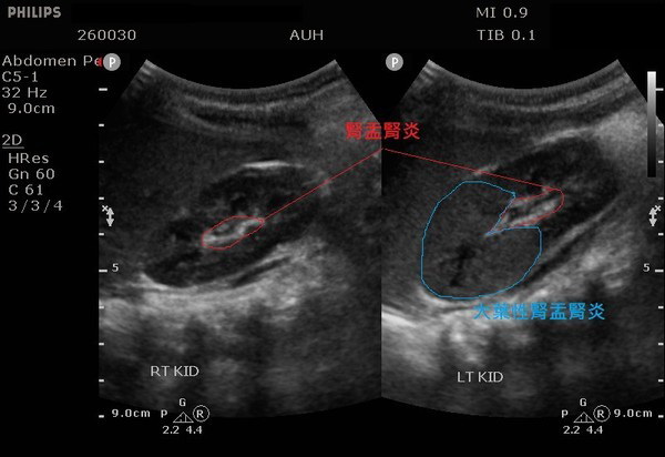
医师安排超音波检查后,发现黄小弟的双侧肾盂肾炎、左肾前端实质发炎,经尿液培养后终于确诊为大肠杆菌引起的左侧“急性大叶性肾盂肾炎”、及双侧“急性肾盂肾炎”,经静脉注射抗生素治疗7天才顺利出院,但出院后仍需使用抗生素治疗3周以上。
医生指出,泌尿道感染是婴幼儿常见的细菌感染之一,主要是因肠道或粪便中的细菌,从会阴部经尿道跑到膀胱或肾脏,通常1岁以下的男宝宝较常有泌尿道先天性构造异常的问题,故发生泌尿道感染的机率较高;而1岁以上的女宝宝,因尿道较短,细菌容易进入膀胱,故泌尿道感染的机率会比男生高。
医生提醒,家长若发现孩子反复发烧超过3天,都应立刻赴医找出病因,平时也应注意孩子的排泄习惯,及正确外生殖器的清洁方式,才能避免产生泌尿道感染。






















