前列腺癌是一种较为常见的男性肿瘤,越来越多的临床数据证实,前列腺癌的早发现、早治疗意义重大。但是前列腺癌的精准检出,一直是困扰诸多医务人员难题,现在好了!近日,江苏省人民医院南京医科大学第一附属医院开展了一项“神奇”检查大大提高了前列腺癌的检出精准度。这项检查的名字就叫做 ——多参数磁共振与经直肠超声图像融合引导的经会阴前列腺精准靶向穿刺(MR-TRUS活检)。
具体还要从这个案例说起:
今年53岁的胡先生,去年7月份在江苏省人民医院健康管理中心体检发现 前列腺特异性抗原(PSA, prostate specific antigen) 有明显升高,在健康管理中心医生的建议下,他立刻看了医院泌尿外科华立新教授的专家门诊,并接受建议做了 超声引导下的经直肠前列腺穿刺活检。活检后的病理是前列腺增生,排除了前列腺癌。看到良性的结果,胡先生松了一口气,但华立新教授提醒胡先生,不能因此掉以轻心,要注意监测PSA的变化。就在不久前,胡先生来医院体检复查,发现PSA比去年升高,胡先生顿时感到有些紧张,再一次挂了华立新教授的专家门诊。
蛛丝马迹初现端倪

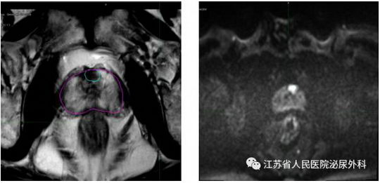
MR图像:蓝色圆圈为前列腺癌灶位置
华立新教授对胡先生进行了前列腺指诊,并没有发现明显异常。尽管胡先生去年已经接受过前列腺活检,但是经直肠超声引导的系统穿刺有盲区并且有漏诊小于1公分肿瘤的可能性,需要对PSA进行进一步的监测。华立新教授建议,胡先生做前列腺多参数磁共振检查,以明确前列腺内部的情况。胡先生接受了磁共振检查,这一查,还真发现了一些“蛛丝马迹” —— 报告上显示,前列腺尖部移行区12点位置异常信号影,大小1X0.8公分,PI-RADS评分4分。华立新表示,目前前列腺MR发现的病灶较小,位置在尿道正上方,普通的超声直肠穿刺无法穿出病灶,建议做磁共振-超声靶向融合穿刺来诊断疾病。
神奇的融合穿刺

成功副教授在磁共振图像上勾画肿瘤位置
融合穿刺?胡先生有点摸不着头脑,他找到了前列腺肿瘤团队中负责融合穿刺的成功副教授、副主任医师。成功副教授解释,根据磁共振的结果,需要做前列腺活检取得前列腺组织进行病理检查。但是因为病灶太小,超声下有可能发现不了病灶,融合穿刺就是把前列腺的磁共振图像和超声实时图像通过特殊技术手段融合在一起,既利用了磁共振对于前列腺癌灶的高度敏感性和特异性,也利用了超声的实时性和便利性,极大的提高了诊断的效率。这种穿刺方法是精确制导,能直接对病灶进行活检。

穿刺正中肿瘤核心
胡先生接受了成功副教授的建议,进行了 MR-TRUS 融合穿刺,穿刺后的病理确诊胡先生患上了前列腺腺癌。胡先生这才暗自庆幸,幸亏江苏省人民医院泌尿外科医务人员的小心谨慎,自己才能及时诊断出前列腺癌。如果当时没有听从建议进一步检查,岂不是贻误了治疗!

融合穿刺术过程
手术机器人显神通
胡先生完善了相关检查后,决定接受外科手术治疗。他曾经因为胆囊炎和腹膜炎到医院做手术,身上至今有几块疤痕。第二次手术时因为肠道粘连还发生过肠梗阻,想起当时的痛苦经历,胡先生非常害怕。在进行手术前,胡先生将自己的担忧告知了华立新教授。华立新教授和成功副教授为病人做了仔细的体格检查,发现病人上腹部有两块疤痕,如果采用传统的经腹入路的前列腺癌根治术病人必然会再次遭受肠梗阻的痛苦,同时手术的难度也会增大,经过科室前列腺肿瘤手术团队的讨论,决定为病人实施对腹部干扰最小的腹膜外入路机器人前列腺癌根治手术。
江苏省人民医院泌尿外科主任王增军教授:”区别于传统的前列腺癌根治手术入路,机器人腹膜外入路手术是指手术操作不经过患者腹腔而直接由盆腔进入切除病灶的方式。由于手术不是经腹腔操作,对患者的肠道影响小,大部分患者术后第一日上午即可流质饮食,对于有上腹部手术史的患者,这种技术优势更加明显。”

泌尿外科主任王增军教授
王增军教授表示,自2016年开展机器人手术以来,江苏省人民医院泌尿外科已经完成了近1000例机器人手术,其中90%为前列腺癌根治术与肾部分切除术,机器人重建尿道和缝合肾脏方面的优势 “征服” 了科室的众多专家。2018年,泌尿外科完成的机器人及腹腔镜前列腺癌根治术已超400例,居全国领先水平。

华立新教授在开展机器人手术中
手术由华立新教授和成功副教授主刀,在达芬奇机器人手术系统的帮助下,完美保留了胡先生的血管神经束,出血仅50毫升,手术时间还不到1个小时。成功副教授表示,机械手臂完整的剥离尿道,保留了膀胱逼尿肌与内括约肌,对于病人术后排尿恢复起着巨大的推动作用,这是传统开放手术和腹腔镜手术几乎很难做到的。术后第一天,胡先生就可以下床活动和进食了!术后第二天,胡先生带着满意的笑容康复出院了!从住院到诊断到手术出院一共只花了一周时间!

江苏省人民医院医务处处长宋宁宏教授:江苏省人民医院(南京医科大学第一附属医院)一直推行多学科合作以及快速康复的诊疗模式,健康管理中心、影像学部、泌尿外科、病理学部、麻醉手术科、信息处协同合作。目前50%以上的前列腺癌患者可实现一周内诊断加手术后出院。泌尿外科同时设立了日间病房及前列腺肿瘤专病门诊为体检PSA异常以及前列腺肿瘤患者服务。更好的服务流程带来了更高的患者满意度,医院前列癌一站式服务项目获得2016年国家卫计委举办的全国医院擂台赛构建和谐医患关系最佳人气案例。

团队成员参加全国前列腺癌MDT高峰论坛

前列腺癌一站式服务案例(左一)获最佳案例




















