肝癌是我国常见的恶性肿瘤之一。对于局限性肝癌,手术切除是首选治疗方法。遗憾的是,很多肝癌患者确诊时就已经是晚期,常见的外科治疗和放射治疗的手段已经无法使用。而内科治疗的药物很少——目前FDA批准的靶向药是索拉非尼(多吉美),但是客观缓解率并不高,中位生存期为10-11个月;2017年4月,也就是索拉非尼获批10多年后,FDA批准瑞格非尼用于治疗已经使用过索拉非尼的肝癌患者,有效率还是较低。不过,PD-1免疫治疗方面更令人鼓舞,PD-1抑制剂(Opdivo和Keytruda)试验数据显示有效率达到多20%。
2017年消化道肿瘤年会上,BMS更新了PD-1抑制剂Opdivo针对晚期肝癌的最新数据:在代号为Checkmate-040的一个由214名晚期肝癌患者参与的临床试验中,单药使用Opdivo使43名患者的肿瘤缩小至少30%,其中2名患者肿瘤完全消失;111名患者的肿瘤稳定不进展。有效率达20%,疾病控制率(疾病完全缓解+疾病部分缓解+疾病稳定)高达64%。9个月生存率74%。这份数据同时显示三点意义:一是无论患者之前是否使用过索拉非尼(多吉美),Opdivo都有效;二是Opdivo在肝癌治疗方面,对PD-L1是否表达对治疗肝癌都有效;三是Opdivo对乙肝引起的肝癌同样有效。
以上数据可以看出,PD-1免疫药物对于晚期肝癌的治疗效果还是非常值得期待的。

下面为大家介绍一个令人振奋的案例。一位之前接受过索拉非尼(多吉美)等标准治疗的晚期肝癌患者,在治疗失败后,尝试使用PD-1进行免疫治疗,结果发现肿瘤体积和甲胎蛋白都出现激动人心的下降。
患者为75岁的老年男性,因腹部疼痛就诊。既往病史包括高血压、胃食管反流症以及贫血。经检查,在右上腹发现硬块;实验室检查显示全血细胞正常、肾功能正常,但是反映肝功能的两项指标AST、ALT数值中度升高。另外,CT检查显示在肝部左叶发现一个异常肿块,随后在CT引导下进行穿刺,最终确诊为肝癌。
患者接受了手术,切除了肝左叶和胆管。术后三年,恢复良好。但是三年后,患者发现胸骨剑突处又出现肿块, AFP高达2751mcg/L(正常值为10-20 mcg/L),腹部CT发现一个8*6厘米肿块并有其他小的转移灶。
基于AFP升高以及CT结果,考虑患者肝癌复发并转移。随后患者开始接受索拉非尼的治疗,口服,每次200mg,每天两次,持续一周后改为每次400mg,每天两次。后来,由于出现严重的手足治疗相关副作用,剂量从400mg降至200mg,依然还是一天2次。在5个月的治疗后,AFP从2751mcg/L上升到8877mcg/L,复查CT发现之前的肿块更大了。
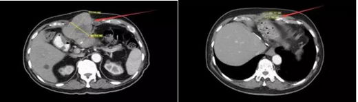
在疾病进展、索拉非尼治疗失败后,患者及家属决定做最后一搏,尝试使用PD-1进行免疫治疗,剂量为2mg/kg,每3周注射一次。在6个周期后,复查CT结果发现肿块组织从8*6cm缩小到4*1.6cm,AFP从8877mcg/L降至1.7mcg/L. 效果让人非常惊讶,而且患者目前耐受PD-1免疫治疗,没有出现什么严重的副作用。

治疗前CT影像 治疗后CT影像
类似这样使用PD-1免疫药物治疗肝癌的案例还有很多。
目前PD-1抑制剂的Opdivo和Keytruda都已经获得新加坡政府的批准,由医生根据患者的病情给予使用。已经挽救了不少患者的生命。遗憾的是,PD-1免疫药物还没有在国内上市,如何获得规范有效的治疗仍是摆在患者面前的一个亟待解决的问题。综合药物质量、安全性、价格以及距离等各种因素进行考虑,建议患者到新加坡泰和国际肿瘤医院就诊,医生会结合患者实际情况为其制定最适合的治疗方案,同时患者首次注射可在医生的全程监护下安全用药,并对后期返回国内的药物使用提供建议和指导。
新加坡泰和国际肿瘤医院中国转诊办公室联系电话: 40000-77672 或 010-59575164
新加坡泰和国际肿瘤医院中国转诊办公室地址:北京市北三环东路36号环球贸易中心A座18层




















