最早关于正畸的研究要可追溯到公元前400~500年,当时的古希腊名医希波克拉底就论述了牙颌颅面畸形。到20世纪60年代,美国人发明了唇侧矫正器,也就是现在已经很成熟的金属矫治器。再到1997年,无托槽隐形矫治技术取得成功,牙齿矫正进入了新的发展阶段。

根据中华口腔医学会的调查显示,我国错颌畸形的发病率高达70%左右,各类牙齿不齐、畸形等情况已经非常普遍。
随着人们爱美需求和健康意识的不断提升,正畸市场在疫情寒冬下规模持续增长,全球正畸行业市场规模由2020年的594亿美元增长至2021年的631亿美元,其中我国的正畸市场增长最为迅猛,年复合增长率高达17.3%。
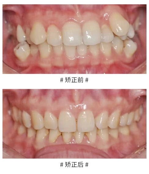
牙齿错颌畸形,不仅会影响到面容的美观,还会影响健康乃至生活和工作。一般常见的牙齿畸形种类如开颌、地包天、龅牙、牙缝过大、牙齿拥挤等,通过各种矫正装置,可以调整颌骨、牙齿及肌肉之间的协调性,帮助恢复平衡、健康、美观的牙齿形态。

为了让错颌畸形患者接受像发达国家同样水平的正畸治疗,作为杭州本地的正畸主力军,雅莱齿科大力从法国、德国等欧洲国家引进科技化、智能化、数字化口腔设备和技术。目前已在所有科室,采用数字化诊疗技术,为需要进行正畸的患者提供专业服务。

此外,一个优秀的正畸机构,除了拥有专业的设备和技术外,还必须拥有具备扎实理论基础和丰富正畸经验的优秀医生团队。雅莱齿科汇聚了国内以及法国、德国经验丰富的齿科医生,以法国权威口腔医生克里斯托夫教授为技术核心,包含王龙、李阳、纪亚梅、相莆添等杭城名医的高品质治疗水准的齿科团队,为患者带来专业、高效、满意的诊疗服务。
从2018年成立以来,历经4年的发展,雅莱齿科已在杭州设有6家口腔门诊,拥有口腔正畸、牙科种植、口腔修复、美学牙科、儿童牙科、牙周治疗、牙齿美白、口腔保健等八大服务科室。针对不同患者的正畸需求,提供定制化矫治方案,包括金属自锁托槽、陶瓷托槽、舌侧隐形托槽及无托槽隐形等多种矫治方式。雅莱齿科致力于成为国民口腔健康守护者,专注于让每一个中国人都拥有灿烂笑容。




















