当前搜索关键字:合理收费
文章列表
-
南阳东大肛肠医院收费怎么样合理收费廉洁行医
从建院至今南阳东大肛肠医院不断致力于创建百姓百姓放心医院,以合理的收费标准,收获了百姓的较高赞誉。...
-
石家庄丰益肛泰医院三甲名医坐诊,专业诊疗,合理收费,患者放心就诊
石家庄丰益肛泰医院是石家庄一家经卫生局批准成立的,专业诊疗肛肠/胃肠疾病的正规专科医院,同时医院还是医保定点单位,患者就医可以用医保卡进行报销,大大减轻了患者就医的经济压力。...
-
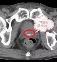
安徽长征微创医院好吗?靠谱吗?正规合理收费
前列腺钙化灶就是指前列腺由于年龄增长、炎症愈合,或者是病理原因等等而形成的钙盐沉积。...
-
嘉佩乐医院是私立医院吗 合理收费廉洁行医
嘉佩乐妇科专家介绍说,该医院特别注重女性的健康,对于任何的妇科问题,都能在这家医院寻找找合适的答案,并且医院还有一多一的服务,让女性可以更加安心的治疗,那么针对北京嘉佩乐妇科医院评价怎么样?就让妇科专家为您来解答吧。...
-
武汉江汉博仕医院口碑好吗?合理收费,真正让患者明明白白看病
生活节奏快,人们整天忙着工作,饮食上很难顾及到,许多人都是点外卖凑合一口,另外还有许多人有吃烧烤夜宵的习惯,长期这样胃肠道总是架不住的,许多疾病都有了侵袭的机会,肛肠疾病就是现在十分常见的,严重影响着患者的生活和健康,不得不引起重视。...
-
泸州东大肛肠医院效果靠谱吗?患者至上,正规合理收费
针对百姓“看病贵”的难题,泸州东大肛肠医院以患者的利益为出发点,建立起“平价优质”诊疗规范,从流程上处处为患者着想为患者节约费用,针对每位患者制定个性化的诊疗方案。...
-
南充东大肛肠医院正规吗?合理收费,真正让患者明明白白看病
在南充,有成百上千家大大小小的正规的、不正规的医院。没有鉴别能力的患者往往容易在不正规的医院“热情”招待之下掉入“医疗陷阱之中,轻则医治无效,重则加深病情。...
-
南充现代妇产医院靠谱有实力,医生有医德,合理收费
南充现代妇产医院秉承“提供卓越医疗服务·保障万千妇婴健康”的办院理念,汇集当代妇产名医,运用古今医学成就,为众多家庭提供专业、安全、高品质、人性化的产科、妇科服务!...
-
南通文峰医院可靠吗丨正规可靠合理收费评价高口碑好
南通文峰医院是一所服务于各民族女性,以看诊妇科常见病、不孕、预防体检、心理咨询为主的的现代化专业妇科医院。医院自建立以来,不断引进经验丰富的妇科医师以提升妇科医疗水平,无微不至的临床服务受到了女性患者的青睐。...
-
四川肛肠医院收费怎么样?合理收费廉洁行医
从建院至今四川肛肠医院不断致力于创建百姓百姓放心医院,以合理的收费标准,收获了百姓的较高赞誉。并汇聚了肛肠专家坐诊,开设1对1诊疗科室为患者解决就医烦恼。并做到保障患者就医隐私,兢兢业业对待每一位患者,让肛肠患者能够重获健康。...











