中国产业调研网发布的中国妇幼医院行业现状研究分析及市场前景预测报告(2016年)认为,妇女儿童健康是人类持续发展的前提和基础,是衡量社会经济发展和人类发展的重要综合性指标。妇幼卫生事业承担着降低幼儿死亡率、提高孕产生育率和出生人口素质的重大责任,社会效应大、惠及面广。做好妇幼卫生工作对于提升全民健康水平,推动国家社会经济可持续发展、构建社会主义和谐社会具有全局性和战略性意义。随着封存多年的“二胎政策”的全面开放,数以千万计的适龄妇女、高龄妇女也将加入其中,导致生育高潮的到来已成事实。
随着我国居民生活水平的提升,加上众多中年妇女加入生育大军,接踵而至的是妇女身体检查以及新生婴幼儿医疗护理面临庞大的强劲需求。普放领域最新的动态DR对妇科检查、新生幼儿检查有着重要的临床价值。
1、动态DR在子宫输卵管造影检查中的临床应用价值
子宫输卵管造影检查损伤小,准确率高, 能对输卵管堵塞作出正确诊断,准确率达98%,为妇科检查的常用检查方法。根据造影剂在输卵管及盆腔内的显影情况来了解输卵管是否通畅、阻塞部位及宫腔形态,是超声、CT、核磁、宫腔镜、腹腔镜、输卵管镜等所无法替代的。
案例一:动态DR对不孕的精准诊断
单某某、女、35岁,计划生育二胎未果,到医院检查,使用动态DR做子宫输卵管造影检查。检查过程中采用矩形数字化透视成像(43cm×43cm),观察造影剂流动情况,并对特征影像进行实时高清点片,获取900万像素影像如下:

图1、2清晰显示:左箭头示右侧输卵管迂曲,间质部、峡部通畅,显影良好;上箭头示子宫壁毛糙。图3、4可知:左、右箭头分别示右侧、左侧输卵管壶腹部和伞部积水扩张,右侧输卵管伞端部分造影剂流出,提示通而不畅;左侧输卵管未见明显造影剂流出,提示堵塞不通。上箭头示弥散至盆腔内的造影剂。综上所述,可以精准判定左侧输卵管堵塞。
2、动态DR在幼儿阴性异物检查中的临床应用价值
通常,阴性异物除少数可直接拍片显影外,大多数要通过动态DR对肺野透亮度、纵隔和横膈运动及其位置的变化、心影吸气性增大等间接征象进行诊断。
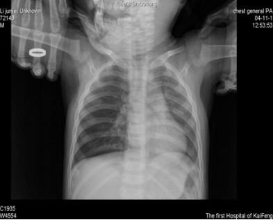
案例二:动态DR对幼儿临床检查的应用实例
男性幼儿,1岁咳嗽哮喘月余,摄片吸气相胸片一切正常(如下图所示),如果没有经验很容易漏诊。我们知道,小儿气道异物病多见于3岁以下幼儿,对此类患儿使用动态DR检查为首选。

结合动态DR透视观察到肺野透亮度、纵膈摆动及位置运动变化,加拍高清(900万像素)的呼气相胸片后,最终确诊为右支气管呼气性活瓣性阻塞。
3、动态DR相对传统胃肠机更具临床保障意义

动态DR影像与胃肠机影像对比
众所周知,在妇科检查中,胃肠机成像视野小,需要移动球管、探测器和床板,调整好位置,才能完整显示整个盆腔,曝光时间长,明显增加受检者X线吸收量;透视影像较为模糊,图像采集延迟,病灶部位的显示不容易捕捉。另外,胃肠机点片方面,目前有两种方式,一种是抽帧,其最大的缺点是获得的影像模糊,容易漏诊误诊;另一种方式是采用跑片机辅助成像,该过程时间较长,无法实时采集。另一方面动态DR矩形采集面积大,一次曝光即可显示整个盆腔,大幅减少观察时间,可控的瞬时照射避免受检者吸收过多的X线,对育龄期妇女、儿童的检查尤为重要。实时高清点片,可以在造影剂流动的过程中完成拍片,同时在在幼儿不规范摆位中快速抓拍到关键高清图像,对检查及诊断有非常重要的价值。
随着“二胎政策”的全面落实,未来几年内将会有越来越多的高龄女性加入生育大军之中。对于妇幼医院而言,即是机遇又是挑战,机遇来源于中国妇幼市场容量快速增长;同时,如何更快速度的提高医疗服务,保障妇幼健康,让已全面开放的“二胎政策”安全落地成为全国妇幼医院的首要大事。
























