虎牙,很多人都知道,小时候觉得长虎牙很可爱,但是长大了却觉得虎牙不美观,有些人甚至到医院要求医生拔掉。

在此北大正畸博士曹喆医生提醒大家,虎牙不能随意拔除。
虎牙是牙齿常见的一种畸形,虎牙出现主要是尖牙的位置不足而引起的,由于尖牙的萌出时间比其它的前后牙齿(切牙和第一双尖牙)晚,早萌的牙齿因有多生牙或上颌骨发育不足,可占据尖牙的位置,也就使恒牙萌出空间不足而产生“虎牙”。

虎牙之所以不能拔除,是因为两侧虎牙承担着人一辈子口腔里的承重、撕咬和力量传导作用。随意拔除可能导致食物残留缝隙中,脸部口角上也会出现塌陷,鼻唇沟加深,颜面丰满度下降,呈现老态,从而影响整个面部的美。
所以出现虎牙,建议选择正畸治疗,千万不可贪图省事盲目拔除。
正畸治疗方法虽然时间相对长一些,但能更好地保全个人的口腔功能。而且矫正后整齐的牙齿不仅容易清洁,预防牙周病,而且也能预防颞下颌关节疾病。
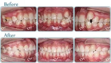
下面这个女孩就是因为虎牙突出,12岁时进行了矫正。
曹喆医生设计的方案为拔牙矫正,经过20个月的治疗后,上下牙正常咬合,牙齿排列整齐,笑容也有了明显改善。

这个患者是在14岁时进行的矫正,单侧虎牙突出,牙齿拥挤。
曹喆医生设计方案为拔牙矫正,经过23个月的治疗后,虎牙回到正常位置,牙齿排列整齐,后牙尖窝关系良好。

Dr.曹喆-北京大学口腔正畸学博士

合生齿科正畸医生
美国Invisalign隐适美铂金医生
隐适美隐形矫治特邀讲师
中华口腔医学会“青年人才奖”获得者
世界正畸联盟(WFO)会员
英国爱丁堡皇家外科学院正畸专科院士
Dr.曹喆,临床经验十余年,擅长儿童、青少年、成人的各类错颌畸形矫治(如牙齿开颌、反颌,拥挤、虎牙,深覆合、深覆盖、偏颌、错颌、外凸等)、矫治失败或者复发病例的再治疗,复杂病例的隐形矫治。
在为患者做治疗方案的时候会综合考虑患者的牙周健康,面型,良好稳定的咬合关系,青少年的生长潜力等,给患者优选方案。治疗过程监控细致谨慎。
博士学位证书

美国凯斯西储大学访问学者

世界正畸联盟(WFO)会员

隐适美认证证书

出席隐适美亚太高端峰会

隐适美铂金级认证医师

中华口腔医学会优秀青年人才

2012年全国口腔正畸学术会议演讲

2017年口腔正畸学术会议学术交流

就诊北京口腔医院的正畸博士Dr.曹喆,无需排队挂号和等待,就可在合生齿科轻松约诊了。
而且曹喆医生会不定期举办牙齿矫正的活动,欢迎关注微信公众号“北京合生口腔门诊部”,新浪微博@合生齿科-梁小鱼,进行一对一咨询,了解更多信息。


















