从医行医,悬壶济世,尽力尽心尽责治病救人,不求富贵,不寻奢华,不追显赫,但求一刀一剪,一针一线,一滴药水,一粒胶囊,都是经过深思熟虑、三思而为、认真负责、一生只求获得个“好一生”的美誉!
暨南大学口腔种植医生赖仁发

图文:暨南大学口腔种植医生赖仁发
他是德国洪堡大学口腔颌面外科医学博士,暨南大学口腔医学硕士研究生导师,博士研究生导师、暨南大学附属第一医院口腔医疗中心主任、暨南大学附属第一医院穗华口腔医院院长,赖仁发教授一直奋斗在口腔种植学领域,不仅亲身体验了作为一名牙医的苦与乐,也亲眼见证了世界特别是中国口腔种植医学的飞速发展,从事临床医学近30年的他对种植牙有着常人难以理解的深度与高度。

从医近30载,赖仁发教授载誉无数,他是羊城好医生、南粤好医师、岭南名医等荣誉的获得者,先后被聘请为国家自然科学基金、广东省自然科学基金、福建省自然科学基金、广州市科技局项目评议同行专家,更是凭借在口腔领域的成就,于2019年2月24日当选2018-2022年教育部高等学校教学指导委员会口腔医学类分委会的委员。

名医、专家、教授、院长代表着一个行业的标准和高度,及也是后辈竭力学习的典范。每一个异于常人的背后,都有超乎常人的付出和艰辛,而学医更是如此,每一个医学技术难题迎刃而解之前,都有一个殚精竭虑的过程,对医学梦想执着的追求是赖仁发源源不断的动力。
“一直以来我都心怀感激,心怀感恩,一直以来正式无数的病患让我的医学知识得以丰富,让我的医疗技术得以提高,临床工作只有更好,没有最好。”每每谈及过去的荣誉,赖仁发总是谦逊地微笑,内心深处是他作为一名医者,最朴素的愿望。
赖仁发教授说:“其实当医生的快乐很简单,就是医治的病人病患满意;其实当医生的幸福很容易满足,就是经过医治的病人恢复了重建。当医生,最为重要的是:不断学习,不断提高,不断创新,不断超越,为广大病患提供全方位的、最新进的、最优良的医疗服务。”

怀着对口腔事业的满腔热爱,赖仁发教授从未停止对行业前沿技术的精益求精,1996-1999年在德国柏林洪堡大学口腔颌面外科留学,获德国洪堡大学医学博士学位(Dr. Med.),曾持证照在德国首都柏林行医多年。他先后远赴美国哥伦比亚大学、康奈尔大学、美国罗马琳达大学、德国德累斯顿大学、德国洪堡大学、德国海德堡大学等院校,与国外同行交流探讨最新的种植牙技术,更好的为广大病患提供优质的服务。

图文:赖仁发教授与口腔种植同行交流前沿的种植牙技术
赖仁发教授认为,种植牙以其良好的功能获得了好评,社会大众越来越接受这一成熟的医学概念与临床技术。种植牙除了已经达到“锦上添花”的效果外,还要能实现社会大众“雪中送炭”的期待。
许多的老年患者,由于长期缺失牙齿,造成吃食的困难,外观的显老,及由此导致早年的老年痴呆,牙种植为这群老年人提供了恢复吃食的基本需求。种植牙恢复了老年人的牙合功能,咀嚼功能,能够从功能上及精神心理层面上让这些失牙老年人恢复自信心与自尊。

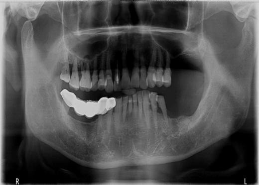
赖仁发教授经典案例:没有条件种,创造条件种

赖仁发教授经典案例:“沙漠”上创造出绿洲

种植体有长,有短,有细,有粗

因为种植牙,生活更美好
“愿每个缺牙老人都能吃、能喝、能咬、能唱!”这是赖仁发教授一直在力行的独到理念。种植牙的品质和效果是考核种植牙医生的关键要素,赖仁发教授这样说也是这样做的,工作中,他不仅身体力行践行严格的医疗管理理念,而且还严格要求整个医疗团队,暨南大学附属一院穗华口腔医院种出来的每颗牙都经得起时间的考验,才能获得越来越多的市民信赖。
除了医术精湛外,赖仁发教授还是一位热心公益的好医生。利用休息时间,为广大市民普及口腔健康科普,通俗易懂的口腔医学卫生知识讲座,及细致、细心、认真负责的口腔检查与诊疗工作!义诊咨询工作紧张而忙碌,有益有效!

图文:赖仁发教授受《广州日报》粤传媒名医大讲堂的邀请,为市民普及口腔健康
除了从事临床工作外,赖仁发教授曾主持国家教育部、广东省科委、广州市科委、广东省卫生厅、暨南大学等科研课题多项,发表SCl/El等文章30多篇,指导口腔医学博士研究生、硕士研究生30多人。
诗意的生活在繁忙的城市中像是一种奢望,而赖仁发教授忙碌工作之外,偶尔也会享受片刻宁静的诗意生活。在难得的休息日,赖仁发教授会约上三五个知己登山,他还特喜欢游泳健身、摄影,如果不是从事口腔医学,或许他也会成为一名出色的摄影师。

如今,提到暨南大学口腔种植医生赖仁发,认识他的人无不竖起大拇指,精湛的技术更是吸引海内外患者常专程慕名而来求治。

知名媒体慕名采访赖仁发教授


















