抖音不如抖知识|拔完牙,为什么不可以吐口水?
医生,我拔完智齿,在那含了20分钟棉球就回来了,现在过去已经两个多小时了,吐口水还是很多血,该怎么办啊?
亲,你一定要听牙医的话啊
千万不要随便吐口水
拔完牙以后一定要注意以下这些
▼
1拔牙后1天内不要吐口水
吐口水你总会先一吸然后再吐出来,这样的动作会容易导致口腔内愈合的血块被吸吮出来,会使原本已经止血的创伤处再次出血,很难止住。如果拔牙窝血块没有凝固好,那就很可能会产生干槽症啦。所以,拔牙吐口水一定要控制。

如果拔牙后24小时内口水太多,那就轻轻咽回去,第一天流血是正常现象,但大量的出血就需要找牙医了。第二天情况会有所好转,一般只会有少量血丝,这个时候虽然不能刷牙但是却可以轻轻漱口了。第三天基本上就不会出血了,如果还是出血,赶紧去找你的牙医!
2拔牙后24小时内不要刷牙漱口
拔牙后创口的止血和愈合恢复,都是依靠您牙齿窝沟里面的凝血块,不让您漱口是怕把您把凝血块一起吐了出来,因此,从拔智齿开始,到拔完都不能漱口,还要尽量减少吐口水次数,也不能刷牙,等到24小时之后,创口部位有了一定恢复,您就可以漱口,也可以刷牙了。

3利美康口腔美学中心
拔牙不是件小事哦~!
小伙伴们需要到专业的医院检查下
利美康口腔美学中心就是你的明智之选!
下面罗列一些图片并做简要说明

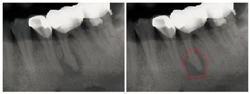
不拍X光,无法发现牙根周围这么大的慢性脓肿
(3个白色连起来的“帽子”是烤瓷牙,下同)

如果不拍X光片,盲目治疗
最终结果就是花了时间花了金钱却没效果
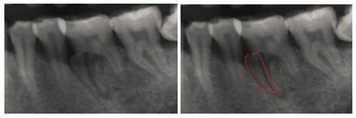
拍X光片后才能发现牙根已经劈裂
无法治疗了~

再来一个牙根劈裂的
拍X光片才能发现智齿牙根已经侵入下颌神经
贸然拔除智齿可能造成神经的损伤!!!

所以到美小编家做好检查
再对症下药才是你变美正确的选择之一




















