最近合肥新安口腔医院安仔的微信一直响个不停,很多家长想趁着暑假,孩子时间多,矫牙优惠多的时机,带孩子去做正畸。但是很多人平时出门穿什么衣服都选择困难,更别说牙套的选择。
今天,安仔就来告诉大家每一种牙套的特点,该怎么选择?
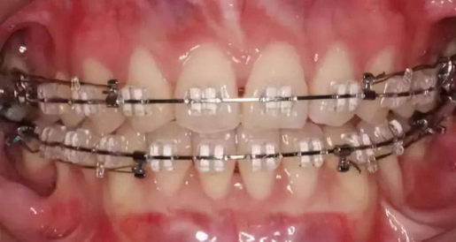
传统金属托槽
传统金属托槽价格亲民,结实耐用,至今已有百年历史。托槽边缘特有的圆润化处理尽可能地减少了对口腔黏膜的不良刺激。

它的优点是经济实用。缺点是需要使用结扎丝或结扎圈,偶有钢丝的尖端会戳破口腔,或结扎圈会因为老化和染色而变色。因为牙面上各种复杂的凸起结构,口腔卫生不易保持,且金属色泽有碍美观,闪光灯下留影时要格外注意,如果露齿微笑,可能只看得见一口亮闪闪的钢牙。
自锁托槽
自锁托槽是近几十年来出现的一种新技术,给固定正畸技术带来了革命性的改变。

它的优点是:由于对托槽的固定方式不同,大大降低了钢丝与托槽之间的摩擦阻力,实现了高效的正畸矫治。不仅减少了正畸加力后疼痛的不适感,还能达到牙齿的快速移动。比传统正畸方法能缩短治疗时间,同时也将复诊时间间隔延长,从以往传统的四到六周的复诊间隔推迟到八周。由于减少了例如结扎丝或结扎圈这些牙面正畸附件的复杂结构,便于口腔清洁,可以减少口腔疾病的发生。
陶瓷托槽
透明陶瓷矫治器由坚固透明的生物陶瓷材料制作,呈乳白色半透明或完全透明,与牙齿色泽一致。戴在牙齿上远看仅有一条钢丝,不易被发现,具有漂亮美观的特点。

而且,陶瓷高度的稳定性及边缘的光滑度,减少了对口腔粘膜的刺激。陶瓷托槽主要适用于对美观要求较高的患者,但其与弓丝之间摩擦力稍大,不利于牙齿的移动,且脆性大,易碎。近年来,生产厂商不断研发新材料,更坚固的陶瓷托槽进入市场,易碎的缺点逐渐被克服。
无托槽隐形矫治
随着计算机软硬件技术、图像采集与处理技术、三维数字化成像及3D打印技术等的飞速发展,促进了无托槽隐形矫治在正畸诊疗中的广泛应用。相对于已经出现了一百年的各种传统固定矫治器方法而言,隐形矫治器具有舒适、卫生、可摘、透明美观、精确高效等特点,并可实现三维可视化矫治效果的预测。近几年来做隐形矫治的人越来越多,呈几何级数的增长,也有各路文体明星的一份功劳。

另外,隐形矫治因为可以自行摘戴,其对戴用者的配合度要求较高,每天戴用20-22个小时(除了吃饭和刷牙以外的所有时间)。
随着正畸矫治技术的不断进步,矫治器的种类也越来越多。矫治器在正畸治疗中有着非常重要的地位,是正畸医生的工具。提醒准备戴牙套的朋友们,首先需要找到靠谱的正畸医生,然后了解各种矫治器的优缺点,并结合自己的经济情况和实际需求,做出最合适的选择。
合肥新安口腔医院是经安徽省卫计委核批的非营利性二级口腔专科医院。总建筑面积约3000平方米,总投资近三千万元,是省内投资规模较大、设施完善、技术先进的专业口腔医院。目前已在肥西设立分院。
拥有国际领先的INSIGNIA数字化矫治系统,具有快速、精准和美学定制的特点,满足不同年龄层次正畸患者的口腔矫正需求,让您不动刀也能变美好啦,今天的矫正知识就介绍到这里,小伙伴们还有什么有关牙齿矫正的问题,都可以添加下方二维码咨询哦。



















