77岁老人受缺牙困扰多年,即刻种植,让他重获口福~
张叔叔,今年77岁,是一名中石油退休职工,上颌牙齿缺失多年,下颌牙齿也缺失几颗。

“牙齿问题一直困扰着我,自从牙齿没了后,吃饭、说话都受到了影响...
谈到种牙的初衷,张叔叔滔滔不绝。


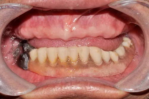
【张叔叔口内缺牙情况】
决定要种牙后,经引荐,张叔叔找到圣洁口腔新开路院技术院长吴虎,吴院长为张叔叔安排了口腔CT、血压等系列检查后,通过系统评估他的上下颌咬合关系、牙槽骨情况、牙周健康情况等,为张叔叔设计了目前国际先进的ALL-ON-4即刻负重种植方案。

【种牙前】
吴院长介绍,ALL-ON-4即刻负重种植技术,主要针对修复半口无牙和全口无牙患者,是利用4颗植体做支柱,搭配覆盖义齿,就能发挥过去12到14颗牙齿的咬合力。

此外,吴院长还提醒广大市民朋友们,即刻负重手术属于种植牙手术中难度高、情况较复杂的类型,并不是任何缺牙患者都适合(每个人的牙齿和骨骼情况都有差别,需要具体情况具体分析),也不是任何口腔治疗机构或牙科医生都能操作,能够安全熟练地操作即刻负重手术的医师,需要有专业的医疗技术知识和丰富的临床操作经验。

种植牙手术当天进行,大概30分钟后,再见到张叔叔只见他一脸笑容的说道“手术前还比较紧张,没想到过程这么快,而且很舒适,几乎没什么疼痛感,很轻松的就完成了种牙。”

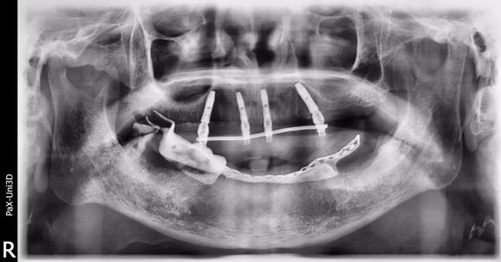
【种植后x线片】

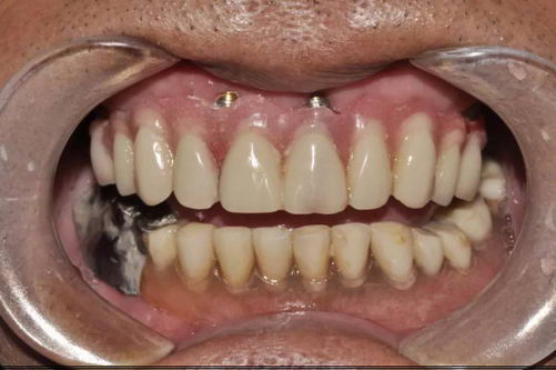
【种牙后,佩戴临时牙】
术后,吴院长反映“目前老年人缺牙数过多,碍于经济考量,往往选择活动假牙修复。但是在牙床基础不稳定的情况下,活动假牙容易滑动,妨碍进食,特别是难以细嚼慢咽,长期下来往往影响患者的消化道健康,容易出现营养不良的问题。种植牙修复,根据颌骨情况,植入数枚植体,可较满意地解决义齿的稳定问题,恢复和提高咀嚼功能”。


















