现今社会,随着生活质量的提高,大家对口腔健康也越发关注。口腔健康是全身健康的重要组成,世界卫生组织更是将其列为人体健康的十大标准之一。中国在《“健康中国 2030”规划纲要》中明确提出“加强口腔卫生工作”,“推进全民健康生活方式行动”。在《中国防治慢性病中长期规划(2017-2025 年)》中,也要求开展“三减 三健”(减盐、减油、减糖、健康口腔、健康体重、健康骨骼)等专项行动。归根到底一句话:口腔健康,全身健康。
世界卫生组织将口腔健康列为人体健康的十大标准之一,其中提及口腔健康的标准是“牙齿清洁、 无龋洞、无疼痛感、牙龈颜色正常、无出血现象”。
我很欣喜地发现,越来越多的患者,开始主动了解专业的口腔知识,并且从生活习惯上开始改变,去重视自己的口腔护理。记得有一位患者来就医时,很自豪地向我展示了他的“口腔护理包”。从牙刷、冲牙器到牙线一应俱全。他说他不仅在家会坚持使用,出差时也会坚持带着护理包。我为这位患者点赞,这样一套标准的口腔护理包真的是非常具有仪式感了。如果大家都有这种口腔清洁意识,牙医是不是轻松了许多呢?
口腔清洁作为维护口腔健康的重要举措,到底意味着什么呢?
在我们临床工作中,较为常见的龋坏种类里有一种叫邻面龋,发生的原因主要就是牙齿邻接面清洁不到位。


对于牙列拥挤不齐的一些患者来说,如果牙缝清洁工作不到位,邻面龋就很容易发生。

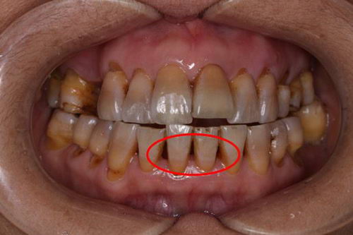
上图一位患者的牙片,很明显因为牙齿拥挤不齐,其中仍有食物嵌塞残留,也就是在牙齿邻接面。这种如果长期嵌塞无法清洁,就会导致牙龈和牙槽骨的炎症、退缩。

这张图就是牙周炎症导致牙龈退缩,从而出现的黑三角症状。在这种情况下,食物残留很容易发生,所以更加需要彻底地清洁牙齿邻接面,否则出现牙齿松动脱落的几率将会大大增加。
当然有些人会说,像您说的那位患者准备一大包的口腔清洁工具,爱牙意识是不错,但也太麻烦了吧。日常生活中勤刷牙,或者坚持饭后用牙线、漱口水不就行了吗?
我们再来看个例子。

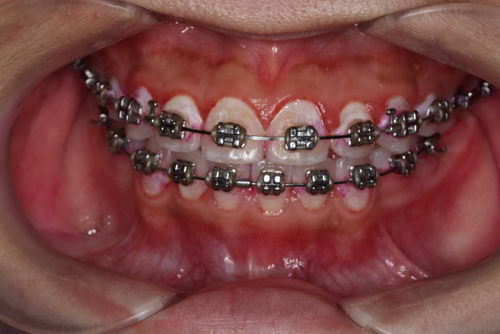
这是一位戴固定矫正装置的患者
图中牙面上的红色是通过一种染色剂标记的牙齿表面软垢的位置。第一张可以明显看到如果简单清洁,很多细节部位是清洁不到的。

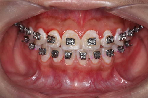
第二张,这是仔细清洁之后的效果,但仍能能看到牙齿仍然有部分没刷干净的位置。像这种刷牙时有阻挡物的情况,如果不通过“穿针引线”式的清洁操作,牙缝根本就没法刷干净。

第三张是使用邻面清洁工具之后,基本上是已经清洁干净了。
选择恰当的口腔清洁工具,在口腔健康防护中的意义是什么呢?
不要以为每天早晚刷牙,就能做到彻底口腔清洁,你不知道哪个清洁死角盲区的小小遗漏,在若干年的沉积后,会造成多严重的口腔问题困扰。“工欲善其事,必先利其器”,日常的口腔养护需要更多具有“仪式感”的清洁。
例如,对于正畸患者而言,由于佩戴了矫正器,他们在清理牙齿时,很多产品就不那么友好。日常生活中我们使用的各类口腔清洁工具,也都有各自的优势及劣势。如果大家都能选择清洁更彻底有效的工具(像冲牙器)前来支援,就能方便高效得解决各类潜在口腔问题。
我为什么推荐大家用冲牙器来清洁呢?举例来说,像飞利浦Sonicare喷气式冲牙器,在清洁力度上,它采用创新的“微爆气流技术”将空气压缩形成高速水雾,既做到了气水雾“无缝不入”的冲刷力度,还有微水滴温和深入得清理,清洁彻底又不伤牙龈,温和有效地去除牙缝深处和牙龈周围的残留物和牙菌斑,足以满足正畸患者和各类人群的清洁需求。
对于刚开始使用冲牙器的朋友,有时可能会出现牙龈出血等状况,这种现象是正常的,是因为以前对牙齿清洁不好,也没有定期看专业口腔医生,而导致牙菌斑堆积、牙龈发炎、严重者出现牙周病所致。而只要坚持使用这种带气冲牙器两周以上,则会炎症消除,牙龈恢复健康,所以不需要担心。

飞利浦Sonicare喷气式冲牙器相比于其他口腔清洁工具,具有明显的优势。其他同类口腔清洁工具本质上还是靠水流冲刷牙缝,耗水量大,且完成全口清洁须多次装水,水压过大又会引起牙龈痛感。而飞利浦Sonicare喷气式冲牙器的微爆气流技术在高效能喷嘴的作用下,一是省水不费事,装填一次即可完成当次全口清洁,不需要洗到一半停下来蓄水。

而且这款冲牙器的喷嘴出水口更宽,覆盖范围大,清洁力度强,但其城堡型设计又帮助减轻使用时的后坐力和水花喷溅,纤细斜角的喷嘴能在导向放置头帮助下精准清理后臼齿等“死角”。

二是省时,飞利浦Sonicare喷气式冲牙器分三种喷射频率(一次、两次、三次),对于像我这种比较忙碌的人来说,一点一压,60秒即可完成口腔深度清洁,确实是一件很省心的事。

另外,这款冲牙器能“一举两得”,同时兼容水和漱口水,清除齿间残留的同时还可以清新口气 。小巧便携轻松放进包里,随心随时随地清洁口腔的高颜值单品,更有电磁充电座和防滑握柄等贴心细节,相比于牙签、牙线,在清洁度、舒适度、方便程度上都更值得推荐。

预防口腔疾病永远要比治疗更重要!
有人会说,如果我们没有严重的牙齿疾病,是不是就不用那么费劲了……这其实是很多人存在的认识误区。牙齿健康主要是依靠日常的牙齿护理,很多错误的护牙方式或者疏忽都有可能为我们的口腔健康埋下炸弹。
繁忙的工作、不规律的饮食习惯都很难让我们做到随时刷牙,或是牢记牙线技巧进行清洁。我经常会出差在外,对于冲牙器的选择,除了要有效清洁外,便携又快捷也是必须要考虑的因素。一款便于携带的高效洁牙的冲牙器,可以让我随时清洁牙齿,不论是带隐形牙套,还是普通人群,都可以无忧使用……
正畸选专业医生,洁牙选专业产品。牙齿,需要仪式感。关爱自己的牙齿,从改变洁齿习惯开始。希望大家都能拥有健康口腔,阳光笑容。
转载自微博“北大正畸医生周彦恒”



















