雪莱说:冬天来了,春天还会远吗?
我相信,属于我牙齿的春天也不远了!
距离我第一次走进贝恩口腔咨询牙齿矫正已经过去快一年了,但当时贝恩给我的震惊的感觉记忆犹新。为什么这么说呢,因为来之前只是听朋友推荐过,本来还以为就是普通的小诊所的,没想到走到门口就被震惊了,看着就很高大上。等走进去大厅,我内心震惊之余还有一点点紧张,因为里面的装修很豪华时尚,一层不染的地砖和亲切微笑的前台导医,让我感觉像是走进星级酒店一样。


幸好这样的紧张感在前台小姐姐温声细语的交流中消失的无影无踪。根据我预约好的时间,前台小姐姐先是安排我在休息区的沙发上坐了下来并为我倒了一杯花茶,然后给我填写了一份健康调查表,并告诉我医生已经在诊室等我了。填写完表格之后,由导医带我去了医生的诊室。在过去的路上,贝恩的每一处干净整洁的环境都使我很满意。

进入诊室,首先看到的就是即将给我看牙的牙医,印象里的医生都是面无表情冷冰冰的,没想到这位车医生不仅面带微笑而且还很好看呢。

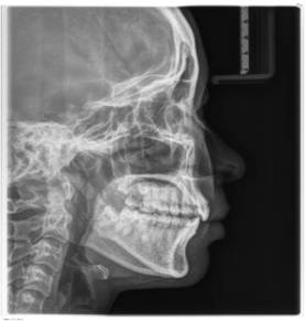
后来才知道车医生是贝恩口腔的正畸科主任,非常的专业。我先是讲了自己的牙齿的问题,车医生耐心的听完后带我去拍了牙片,从牙片上能很清晰的看出我的牙齿有点深覆合,并且牙缝也挺大的。

车医生还给我体验了一下据说是矫正黑科技的口扫仪,让我更清晰的看到了我牙齿的情况和矫正后的效果,看到矫正后我的牙齿能变得这么好,我真的特别激动。
经过一系列全面的检查之后,车医生为我量身定制了适合我的矫正方案,于是就开始了我的牙齿矫正之路。

因为矫正需要拔除我的14和24号牙,所以我先回去吃了几顿好的才来拔牙的。这里必须实名称赞下医生的拔牙技术,本来听人说拔牙很疼的,但在这我是一点没感觉到,上午拔完下午我就开心的喝起了最爱的南瓜粥,第二天就能正常吃东西了。

我选择的是金属自锁托槽,一开始戴上牙套是真的有点不习惯,牙齿感觉酸痛,使不上力真的只能喝粥,但是从第四天开始这种感觉就减轻了很多,吃面条什么的毫无压力,当然牙齿这时候还没什么变化,也不可能这么快就能看见效果。刚开始需要我两周去复诊一次,车医生告诉我,牙齿矫正是一定要坚持复诊的,并不是戴上牙套就完事了,专业的负责任的医生是一定会时刻关注你的牙齿情况,而且钢丝也需要收紧和更换。就这样坚持了大半年之后,我惊喜的发现牙齿竟然有了很大的改编,整齐了很多,而且还有一点意外的收获就是我瘦了10斤,因为整牙期间我很注意饮食,特别硬的、饮料奶茶啥的都很少吃,并且每天饭后都要清洁牙齿,防止在矫正期间牙齿长出黑三角。由于每次吃东西后都要去刷半天牙,所以零食就少吃了,一日三餐正常吃就瘦了(哈哈哈有点跑题了),最开心的当然还是矫正的效果,车医生告诉我再坚持几个月我就能占掉牙套了。

身边很多朋友问我矫正是不是需要很长时间,其实按照我的时间来说并不算长,正常矫正1-2年就可以了,就算是再长时间我也愿意,因为和一辈子牙齿不好看想必,我愿意花一两年的时间让牙齿变得好看,更重要的是牙齿矫正也能让你的牙齿更健康。
因为之前对矫正牙齿一点都不懂,所以再矫正期间我经常请教车医生一些矫正方面的问题,比如以前很在意的矫正年龄问题,我是23才开始矫正的,以前觉得年龄大了没必要矫正、没效果,但实际上牙齿矫正并没有规定具体的年龄时间,只要你想,多大都没问题。但是需要注意的是,越早矫正越好,年龄大了可能会比年龄小的矫正时间要长一些。所以不要再问什么时候矫正最好了,现在就是最好的时候。
到现在,我已经接受牙齿矫正快一年了,牙齿变得越来越很整齐好看,我整个人也比以前自信了很多,不再只敢捂嘴笑,并且在整牙期间遇到了现在的男票,生活变得越来越好。车医生告诉我春天的时候我就能摘掉牙套了,而现在已是凛冬,属于我牙齿的春天马上就要到来,也感谢贝恩让我迎来了人生的春天。


















