在当今时代对于牙齿缺失有多种方式可以修复,它们可以归类为三种类型,如活动义齿、固定义齿、种植义齿。
在我国,固定义齿是比种植义齿要平民、比活动义齿咀嚼力要好一些的修复方式,它也被称为烤瓷牙。烤瓷牙从上世纪开始就备受欢迎,如今还是有很多人会做烤瓷牙。

烤瓷牙修复缺失的时候,需要磨除邻牙的部分牙体组织,而修复缺损或进行美白牙齿的时候,也是需要磨除原牙的部分牙体组织的。这就危害到了天然牙的健康,并且虽然修复后短期内都能拥有美丽的牙齿,但长久后却会令人大跌眼镜的外观变化。
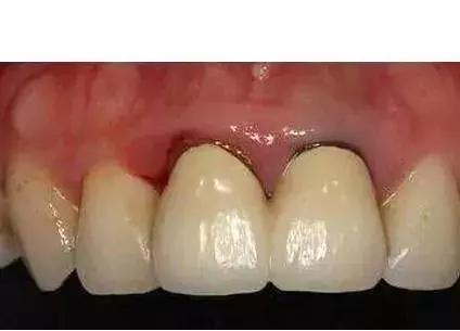
原因是它是一种内部用铸造贵金属作为支持,外部用烤瓷来达到与天然牙一样外观的牙冠,贵金属常用钴铬合金、镍铬合金。这种牙冠佩戴久了后内部铸造贵金属就会在口腔内氧化成灰色氧化物,沉淀于牙龈,就会出现牙龈发黑的现象。另外,沉淀物还会引发牙周组织炎症,危害牙齿,甚至导致牙齿脱落。

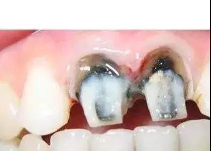
而且在磨牙步骤,如果医生技艺不精就很容易把牙齿磨成锥形牙、老鼠牙,看着都让人觉得触目惊心,甚至使得牙髓外露,还要做根管治疗,想想都疼!还有就是,烤瓷牙在这小小的老鼠牙上根本就戴不稳,老是会脱落,这样好好的牙就白白磨没了。所以要注意,在健康的牙齿上并不适合施工烤瓷牙。

不要随意做烤瓷牙
1 牙齿色素牙
如果想要改变色素牙的外观,可以选用瓷贴面。除非是伴随了牙体缺损的患牙,如氟斑牙、四环素牙等,才建议考虑做烤瓷牙。
2 牙齿缺失
对于修复缺失,首先建议进行种植义齿。种植义齿拥有独立的牙根,不会危害天然牙。除非身患一些全身性疾病而无法进行种植手术,才推荐考虑烤瓷牙。
缺牙修复首选
种植牙
种植牙是目前国际口腔界公认的缺牙修复的最佳选择,它以媲美真牙的美观舒适、坚固稳定、长久使用等优势,被誉为“人类的第三副牙齿”。

柏德口腔将国际微创无痛外科技术、现代3D数码成像技术和德国精密种植系统完美结合,实现了即拔即种、创口微小、术后即可饮食的理想种植效果,让您轻松重获“好口福”。
柏德口腔专家团



专家号免费预约中...
预约热线:0851——86 696969
看牙福利来袭!
10月1日—10月31日
柏德口腔贵阳连锁10月爱牙优惠
爱牙优惠:
1、免专家挂号费
2、免费口腔检查
3、免费设计治疗方案
4、

5、

6、

活动参与方式:
拨打咨询预约热线:0851-86696969
柏德口腔贵阳连锁——来自德国的品质齿科
看牙免费停车
活动时间:10月1日至10月31日
即日起电话预约即可享受以上优惠
预约电话 :0851——86 696969
地址:贵阳市中华北路289号(北京路交叉口南向50米)
活动解释权归柏德口腔·贵阳连锁所有
如有侵权,请联系删除


















