李春梅女士,今年40岁,和小周是相爱多年的夫妻,无奈的是李女士患有重度牙周病,牙齿疼痛难忍让夫妻两人很是焦急。
牙周病来得悄无声息,从此辜负了美食佳肴
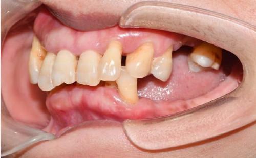
李女士是一位工人,工作没有固定的时间,常常上工很早,放工都很晚,刷牙也是马马虎虎,不注意口腔卫生,长期下来,李女士便被牙周炎缠上,起初没有什么症状,就没怎么在意,时间久了,问题来了,李女士的牙齿出现了疼痛、溢脓、口臭、部分牙齿脱落的情况。看到美食诱惑,李女士也只能无奈地摇摇头。

十年来,痛苦与日俱增
十年前开始牙龈疼痛,后来慢慢的牙齿开始脱落,一般都是牙根首先开始出现腐蚀,然后牙根发黑,然后牙齿断裂,陆陆续续几乎现在只剩下面的几颗牙齿是好的,其他的全部断裂,现在仅有的几颗牙齿也发现牙根有一圈腐蚀的痕迹,跟以前断裂的形式一模一样,牙齿有牙结石,牙根底部与牙龈的地方发黑,有溃乱的迹象,去小诊所说牙根内面有暴露,无法治疗,以后牙齿全部脱落就只能做全口义齿,无奈又拖了一段时间。
母亲节,想给你特别的礼物
2018年5月,也是恰逢母亲节的日子,李女士和老公小周结伴来到扬州贝恩口腔医院。听介绍,原来是小周的老板在贝恩做过牙齿,跟小周提建议可以过来看看。小周坦言:这辈子没有给相伴自己多年的妻子过过像样的节日,因为牙齿的问题也没有吃过什么大餐。希望我在这可以实现妻子一直以来的愿望。
全面诊治 制定最适合的治疗方案
贝恩曾院长热情德接待了李女士。并对李女士的口腔牙齿拍了牙齿CT,做了详细的诊断,由于李女士牙齿脱落的情况严重,而且贝恩口腔种植牙有优惠活动,夫妻俩决定做种植牙修复。功夫不负有心人,李女士总算开心满意地笑了。手术的一半时间在处置拔牙、牙槽窝、根尖囊肿、牙槽骨形态等!萨米尔博士强烈建议牙周问题的患者一定不要拖,越早治疗越好,牙周病不会自愈的!越拖越麻烦!不过,手术和修复还是很成功,李女士术后没有不适,也立刻可以谈笑风生!小周看见李女士这么开心,自己也心满意足了。

贝恩专家提醒:牙周炎掉以轻心满口掉牙
生活中一旦出现4种“征兆”就应引起高度重视。首先是刷牙或咬硬物时牙龈出血。第二是有持续性的口臭。第三是牙齿有松动、位置改变或咀嚼无力。第四是感觉牙缝越来越大。很多人对这些“征兆”掉以轻心,要么盲目轻信漱口水和药物牙膏。其实漱口水和牙膏无法在口腔内停留足够长的时间,根本不能接触深藏在牙龈下的菌斑。要么牙齿松动就一拔了之。盲目拔牙会让其他牙齿也开始松动,且松动的速度越来越快,伤害的不是一颗牙齿,而是满口牙齿。因此,一旦出现牙周病征兆就应及时就医,否则不仅会 “满口掉牙”,还会让牙周病细菌进入血液,形成血栓,阻塞血管,导致心脏病和中风。

【健康热线电话】400-828-7786
【医院地址】邗江区兴城西路189号(琼都宾馆斜对面)
【医院官网】http://www.beiinn.cn/


















