牙丑还在等?该整就得整!
4月29日,是一个神奇的日子,不是哪位伟人的诞生,也不是哪只火箭将要发射,而是你,即将拥有这世上最美的微笑。
从前,没有听过牙齿矫正,歪牙要等~
现在,压力太大不敢付出,歪牙继续等~
以后,存款为负无力整牙,歪牙还要再等!
心疼歪牙,也许它也在想自己何时才能堂堂正正做一颗美牙?
来南通牙博士,让你不再等待!0首付0利息,分期整牙没压力!轻松整牙,悄然变美。
由南通牙博士口腔全力打造你的无“斜”青春,开启人生新旅程。南通牙博士是一家专业齿科机构,具备深厚的医资力量以及国际水准的医疗技术。牙博士口腔始终对完美品质不懈追求,对医院技术无限探索。正因此,南通牙博士口腔在口腔医疗领域获得了业内外人士的一致好评,赢得了广大客户的良好口碑。

牙博士李力院长,将作为此次无“斜”青春新旅程的领头人,带领大家走出“歪牙”的迷雾森林,一对一定制美学矫正方案,精准设计最美的微笑。
李力:南通牙博士崇川机构业务院长,从事正畸20多年,曾进修于上海第九人民医院,更是美国隐适美认证医师,在李院长手中经过的正畸患者不计其数,在牙齿矫正方面具有超强的权威性。

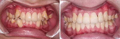
汪菲,就曾是在南通牙博士口腔进行成功正畸手术的一名小伙子,并且由李力院长亲自为他设计了正畸方案。

经过了为期两年的矫正,我们来看看他的矫正效果吧!

除了李力医生技术助力之外,还将有鲜美的花束围绕我们,在精美的花艺中,了解“整牙”那些事。花美,当然人要更美。

4月29日,仅限15名打造对象:龅牙、地包天、牙列不齐、牙列拥挤、牙列稀疏等症状的患者皆可报名参与我们的无“斜”青春、歪牙立正活动。
活动优惠名额有限,点击预定
矫正礼:(每项限前2名)
金属自锁托槽矫正特价10800元
博思美隐形矫正特价18660元
隐适美隐形矫正立减5000元
时代天使隐形矫正立减3000元
美牙礼:德国威兰德美牙冠特价3500元
美国lava美牙冠特价6800元
二氧化锆全瓷牙1280元
活动时间:4月29日
活动地点:南通牙博士崇川机构
电话咨询:0513 5100 1010
更多美牙优惠,详情咨询,在线点击:http://t.cn/RidwR1U


















