
一口整齐的牙齿是所有人梦寐以求的,但是由于各种原因导致牙齿不整齐,却又无计可施,与别人交谈时,不敢开口大笑,只能默默的捂嘴,又觉得不礼貌,那么牙齿不齐要怎么办呢?
其实牙齿不齐不是什么大病,廊坊圣洁口腔可以帮你通过牙齿矫正手术来进行修复,让你每天笑不合嘴。

很多人对牙齿矫正的了解也仅仅是皮毛,看到明星矫正牙齿,觉得能让人颜值飙升,但是!
要选择什么样的医院?
要选择什么样的治疗方法?
要选择什么类型的牙套?
整牙到底要经历哪些过程?
要多久牙齿才能变整齐?
大家对此一无所知。
那牙齿矫正究竟是为了什么呢?
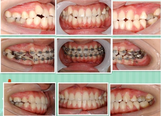
其实牙齿矫正包含很多,既属于口腔的治疗过程,也可以改善牙列排列不齐、牙体扭转倾倒的现象,不仅仅是为了恢复牙齿整齐、笑起来更美丽,更重要的是恢复牙齿良好的咬合关系,减少口腔疾病的发生。牙齿矫正的最佳时间一般在12-14岁之间,这个年龄段颅颌面骨骼还具有一定的生长潜力,矫正起来效果会更好,时长也会比较短,大概需要一年到一年半,成年人相对慢些,周期也相应的拉长。

有些顾客非常关心价钱的问题,但是选择不同的矫正方法,价格就不一样。比如传统钢丝矫正、陶瓷托槽矫正、隐形无托槽牙齿矫正在正畸技术上都有很大的差别,而且医生会根据顾客牙齿的实际情况和顾客的要求以及年龄来确定治疗方案,年龄越小费用越低,所以不同的人进行牙齿矫正的价格就会有所不同。



传统钢丝矫正 陶瓷托槽矫正 隐形无托槽牙齿矫正
不过这些都不重要,重要的是牙齿矫正是一个周期很长的过程,想要改变、想要变美的心从此刻开始,大家一定要坚持住,每天美一点,廊坊圣洁口腔还你一口灿烂笑容!
温馨提示:做牙齿矫正手术一定要选择正规的口腔医院,提前了解,做好术前准备,谨听医嘱哦!
地点:廊坊圣洁口腔连锁-永兴路院
廊坊圣洁口腔连锁-新开路院
廊坊圣洁口腔连锁-光明西道院
咨询热线:0316-2285777


















