常州牙博士为何会成为龙城市民看牙首选机构
常州看牙医院哪里比较好?想要选择一家好的口腔医院,首先要看是否正规,其次它的设备是否先进、医生经验是否丰富、服务是否周到、价格是否透明,我们向您推荐常州牙博士口腔!

牙博士口腔立足常州本土,在技术引进、设备采购、医生资源共享、学术交流等多个领域,通过跨国、跨行业全面合作和资源共享的模式,开创出一套为中国人群量"口"定制的现代化医疗服务模式。

【牙博士精专美齿实力连锁品牌】
牙博士口腔经过多年发展,全面引进来自韩国先进的齿科理念和高端齿科运营模式,共享亚洲数字化口腔大数据库,并为顾客提供高层次、全方位的齿科疾病预防、治疗、康复和保健的四位一体化服务。
【牙博士六大精专项目 效果有保障】
牙博士口腔采用“全生态、人性化”的环境设计,设有口腔种植、美学修复、口腔正畸、牙齿美白、口腔诊疗、儿童齿科等科室。雄厚的技术实力、丰富的临床经验、五星级的医疗环境再加上体贴入微的服务,让你感受从未有过的超赞医疗体验。

【牙博士中韩齿科名家齐聚】
牙博士口腔对医生队伍有着严格的要求,每一位进入牙博士的牙科医生均经过层层考核。其医生团医生,均毕业于国内外知名牙科专业,并有出国深造或出国参与学术交流学习的丰富学术经验,取得相关的技能证书,与此同时,他们还有着丰富的临床实践经验,均超过十年以上,可以说,牙博士医生团是一支代表着牙科专业的医生团队。

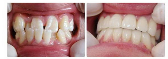
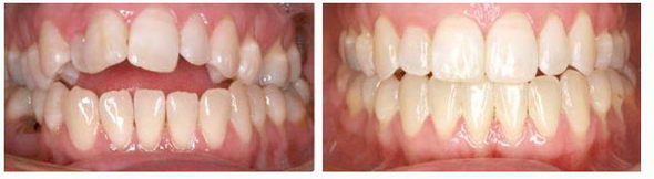
【牙博士真实案例库有图有真相】
经过多年的发展,牙博士齿科集团成功案例不计其数。进驻常州后,每一天,均有不同牙齿疾病的朋友向牙博士齿科医生寻求帮助,并最终成功告别牙病困扰,为龙城百姓带来了前所未有的高端豪门齿科服务。


【牙博士平价收费价格透明】
严格按照卫生部标准和物价局要求,每项检查、每项服务、每一笔费用都完全公开,保证每位患者都能真正地明白就医,清楚付费。
【牙博士舒适环境尽显人文关怀】
提供免费停车位、免费安全wifi,一尘不染的环境,微笑的服务,让您置身体验一次完全与其他医院不同的美妙就诊之旅。

【牙博士屡获殊荣 为品牌加冕】
牙博士一个品牌的成长,离不开一如既往的努力和坚持。牙博士口腔品牌连锁始终对完美品质不懈追求,对医院技术无限探索。正因此,牙博士口腔品牌连锁在医疗领域获得了业内外人士的一致好评,赢得了广大客户的良好口碑!


















