在生活中我们时常都能见到一些人牙齿不齐,严重影响了面部美观。武汉冠美口腔医院医生表示,牙齿不齐不仅影响容貌,更会危害口腔健康,甚至全身健康,需要及时矫正。而矫正牙齿的同事,还会面临着拔牙,那么是不是牙齿矫正都要拔牙呢?下面我们听下武汉冠美口腔医院专家是怎么介绍的。

当你出现牙齿疼痛的时候,有龋洞去看医生时,医生一般都尽量治疗牙齿,不轻易拔牙,即使是牙冠大部分龋坏了,若牙根没有问题,治疗以后做牙冠修复保牙。
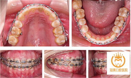
正畸医生因为矫正的需要,需要拔除4颗双尖牙,或者有时需拔除还没有长出来的智齿。有时除了4颗双尖牙,为了治疗的需要,甚至还没长出来的牙齿,没有多大用处的智齿都需要拔除。这样一共拔除8颗牙,让患者不能够理解,都觉得拔除这么多健康完好的牙齿很可惜,有些家长还问,拔牙后那么大的空隙怎么办,还要镶牙吗?担心以后牙齿会松,会早掉,同时会拒绝矫正,因此错过矫正的年龄。
由于患者对拔牙的犹豫,常常干扰了医生对矫正的方案的确定,即使勉强用不拔牙矫治,但后期的结果很不理想,而且有些病例不拔牙甚至无法进行治疗。

为什么拔牙要进行拔牙呢?
冠美口腔医生说到:拔牙准确性的来说是改善面貌以及排齐牙齿和提高牙齿的咀嚼功能,拔牙一般只是拔掉四颗牙,拔牙的主要原因是因为颌骨发育在慢慢的退化,容纳不下那么多的牙齿,只能减少牙齿的数量,如果换做是因为牙齿拥挤而超过了一定的数量,就会直接影响到患者测面部和牙齿的美观。

武汉冠美口腔医院牙齿矫正:
武汉冠美口腔医院隐形矫正牙齿几乎完全隐形,您将在别人毫无察觉中完成牙齿矫正,解决了许多患者对矫正牙齿的美观顾虑。并且由于没有传统意义上的托槽、钢丝等矫正装置,矫正过程不再痛苦,对牙周组织的刺激及不适感低。可自行摘戴,不影响社交、进食、运动等。同时复诊次数减少,节约您的宝贵时间。口腔卫生容易维护,不必担心牙龈炎、牙齿脱矿、变色等问题。一般治疗约9-12月即可完成。传统方法治疗时间约8小时,隐形正畸仅为3小时。

武汉冠美口腔医院拔牙:
大部分操作无需麻醉、无出血、无需缝合、治疗,使病人从心理上感觉非常舒适。拔牙手术中不使用凿子和锤子,不会使患者产生恐惧感。术中、术后发生拔牙并发症几小,拔牙术后伤口继发感染机会减少,伤口肿胀及疼痛轻,伤口愈合快。适用于各年龄段的人群,特别是怕疼的小孩和牙本质过敏性疼痛的成人。高效切割软组织并有效止血、凝血、同步杀菌,始终保持口腔干净清爽。
如果你有什么地方,没有明白或是不清楚的地方,欢迎拨打冠美口腔健康咨询热线电话:027-84790555进行免费咨询与沟通。武汉冠美口腔医院的专家将全心全意为您服务!


















