旅行早已经是我生活中不可或缺的部分,拍照就是我将每一段走行再次延长精彩的方法,可是过去我不敢大笑,虽然朋友们都说我“腼腆”地笑起来时有种特别的魅力,拜托,我没想这么文艺和内敛,只是因为一口糟糕的牙而难以启齿!!

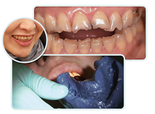
我有很多同龄国人都有的困扰,就是四环素牙,那前些年无论什么新的美白牙齿的手段有了我都去试试,其中冷光美白算是短期有效,但是治标不治本。尤其工作后,我知道第一印象对于人际交际的巨大意义,所以一直以来,我都尽量掩饰这个缺陷,一度想去做牙冠,但问了一圈知道难度有多大后还是放弃了!
听不少圈里人说起过爱威白,很多明星都做了,但一直以为与做牙冠没有太大区别,直到后来了解到那是绝对不同的理论和手法才鼓起勇气一试!

看,这是我用上爱威白牙贴面后的第一次拍照,美吗?我再也不用担心露出来的牙齿会引起别人的反感了。
说起终于被打动的过程,还是在一次朋友聚会,作东的好友变漂亮了,言谈间笑容收放自如,满脸灿烂。朋友中于是就有人好奇地问她,她说是牙贴面,爱威白家的。因为之前也已经听过这个品牌,所以很有兴趣看看“实物”是怎样的!首先是非常整齐,可朋友之前的牙齿犬牙差互呢!“对,微调,我的原牙还在里面,但外面看全整齐了,而且过程不用麻药,因为几乎没什么痛感!”对,这就是我想要的,无痛,不损牙齿,还能彻底改变!
之后大家又问了问过程,只去两次,一次取模一次安排,这么轻松便捷,那还有什么可犹豫的!所以我从了解到动心是花了不少时间,但从见到真人案例到下决心做也就是半个小时的事儿!

第一次去爱威白位于华贸中心的诊所,哇,好多明星做过了哎!伍咏薇,温碧霞,欧阳震华,袁咏仪,黄健翔,栗坤,还有在时尚杂志圈很有名的模特娜依,那我还真就不用犹豫了!

简单沟通之后,我就坐进了明亮整洁的诊室里,对面正望着丽兹卡尔顿酒店,风景不错!第一步是基础的口腔检查并获取牙齿模型。就是用图中的这个工具——硅胶模,医生很细心,取模前特意告诉我均匀自然用力咬住模型,因为是薄荷口味牙齿会有凉凉的感觉。

对,就是这么简单,然后我就回家等着我的牙贴面做出来了!要说还有什么纠结过的问题的话,那就是颜色。爱威白牙贴面分四个颜色,两款自然白和两款好莱坞白,适合不同的肤色,当然还可以在贴的过程中用粘胶再来微调最后的色泽,所以可以说爱威白是适合各种肤色的美牙手段,绝不会让你白的很假很吓人!
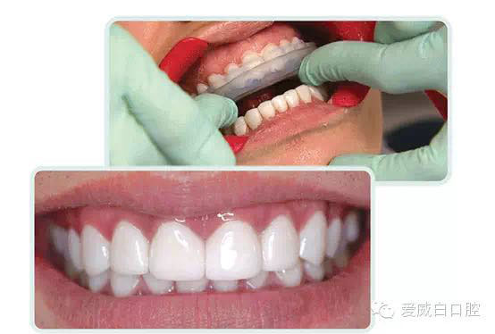
等待的过程中,医生提醒我要注意邮件,因为贴面是全景3D设计的,牙齿带上贴面的效果图会发到我的邮箱里,我是可以提前预览到自己牙齿的改变,有疑问的话可以随时和自己的医生沟通。3D牙贴面果然是很有安全感的产品,设计过程我也可以参与到。看到预览图的那一刻,我就特别期待安装贴面的那天呢。

一个月后,我再次来到爱威白,比预约时间提前到了半小时,这次我看到了更多人的微笑,那种发自内心的满足的微笑。接下来是“见证奇迹的时刻”,整排贴面非常快捷的就安装好了,效果果然和电脑设计图一模一样,整齐、漂亮、更衬肤色……说实话,一开始我还担心那就像买房的效果图不能太信呢!哈哈,没想到能好得这么无可挑剔!
现在,我这么爱笑还这么会笑,而且也乐于和朋友们分享这个早就在明星名媛中流传的公开的美牙秘密!












![俄罗斯的“天上人间”美女如云[组图]](http://www.xdjk.net/uploads/allimg/1112/4-111219151447-lp.jpg)











