自从诞生两种隆胸方式开始,这两个高手之间的战争就没停过,假体隆胸的医生说:假体安全。自体脂肪的医生又会说:脂肪效果好。
今天就收到一位隆胸小白祈求式的疑问:假体和自体脂肪隆胸到底哪个更好,能不能给我一个中肯建议?

说实话,这两种隆胸方式并不是高手对菜鸟,更像是两个武林高手之间的对决,现在你让我说最后谁能赢?臣妾做不到啊!
假体隆胸诞生于20世纪60年代。
其实在硅胶假体诞生前,人们曾经使用人工海绵充当隆胸材料,效果可想而知,隆胸后有大量纤维组织向海绵内生长,挛缩、变形,术后远期效果极差。
于是,硅胶假体隆胸诞生了。它摆脱了海绵假体、盐水袋子、石蜡假体的所有问题,开始被更多人接受,并沿用至今。可想而知,假体隆胸就像一位混迹江湖的老油条,基本找不出任何破绽。
而自体脂肪隆胸在2000年以后才逐渐被人们广泛使用,实现了隆胸界的逆风翻盘。
它们到底有什么优势,最好一个个拎出来单独比较:
外观效果对比
假体形状一般分两种:圆盘形和水滴形,为了满足不同需求,两种假体的分工也就不同。
圆盘形适合对乳房坚挺度有需求的女性,无论是站姿还是平躺,胸部的饱满度都不会有太大变化。
水滴形适合对自然度有高要求的女性。上半部扁,下半部饱满,乳头微微上翘,和天生的乳房形状相似。
▼

北京伊美尔假体隆胸案例


而自体脂肪隆胸受脂肪存活率的影响,不能一次性植入太多脂肪细胞,一般需要2-3次填充才能达到最佳效果,所以大多数人单次填充效果并不理想。
北京伊美尔自体脂肪隆胸案例


单次填充效果:假体隆胸胜!
手感对比
隆胸假体内部是果冻状凝胶,外层是包裹凝胶的囊,捏一下还会慢慢恢复形状,摸起来像真的人体组织。


手感坚实、紧绷、有弹性


而自体脂肪丰胸手感更柔软,自然,没有紧绷感,用自己的脂肪,所以手感和真胸没区别,通过手感完全无法辨识是不是后天填充。
手感判断:自体脂肪胜!
疤痕对比
一般隆胸切口有3个


腋下切口,在腋下开3-4cm的横向切口,这个部位远离乳房,有褶皱和轻微色素沉着,是最不容易被发现的部位。
乳晕切口,乳晕颜色深,一般沿下缘做3cm切口,切口小,只适合隆胸假体小的人。
乳房下皱襞切口,是欧美女星最喜欢的手术方式,疤痕比较明显,但疤痕会被掩藏在乳房后边。
总之,3个切口一般都会留下轻微疤痕,只是被掩藏不易发现。
自体脂肪隆胸是用注射器吸脂和注射,一般不会留下明显疤痕。


切口疤痕:自体脂肪胜!
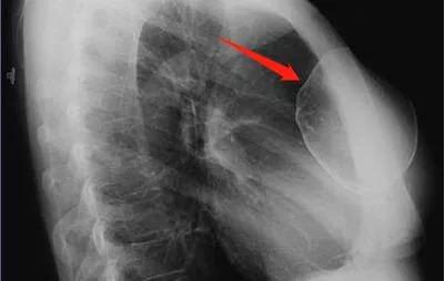
隐私性对比
隆胸假体在X光片下的成像


而乳房的主要组成是脂肪,自体脂肪隆胸不会有被发现的风险。
隐私性:自体脂肪胜!
安全性对比
假体本身的安全性毋庸置疑,从20世纪60年代至今,更新换代后的假体不惧撞击、挤压,但是对于少数敏感人群来说,仍然有过敏的可能。
自体脂肪丰胸,材料来源自身,绝无过敏可能。
安全性:自体脂肪胜!
哺乳的影响对比
假体丰胸:将假体一部分放在胸大肌下,一部分放在乳腺下,不会让胸大肌过度紧张缓解疼痛,也不会压迫乳腺,是最适合的假体植入位置。

自体脂肪丰胸会避开乳腺


对哺乳的影响:平局!
关于怎么选医生,且听我道一道:
有经验和没经验的医师差在哪里?
影响脂肪细胞成活的因素有很多种:脂肪的抽取方式、提纯方式、脂肪的活性以及填充注射方式都会影响术后恢复效果,但医学研究显示:医生的填充注射技术才是决定脂肪成活的关键。如果注射方式和手法不对,很容易造成脂肪坏死甚至钙化。

副主任医师、研究生导师
中国医学科学院整形外科博士
伊美尔集团眼部手术学科带头人
北京伊美尔医疗美容医院院长级专家
中华医学会医学美学与美容学分会委员
中国整形美容协会眼整形美容分会理事
辽宁省医疗事故鉴定组专家库成员
何祯平主任,是从业20余年,对假体隆胸有丰富经验的整形专家。擅长内窥镜假体隆胸,伤害小、恢复快、效果好。
精通国际乳房整形美容前沿技术,善于根据亚洲人的形体特点和审美观,进行手术方案的设计。尤其擅长“内窥镜假体隆胸”,大大提升乳房整形的安全性以及术后形态,全面解决传统隆胸手术的不足。坚持微创自然理念,切口小而隐蔽,精细无痕、恢复快。术后乳房动感、美感、手感兼备。















![俄罗斯的“天上人间”美女如云[组图]](http://www.xdjk.net/uploads/allimg/1112/4-111219151447-lp.jpg)








